Reconstructions osseuses
Découvrez les différentes techniques, leurs avantages et mode de réalisation
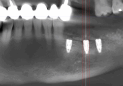
Reconstructions osseuses à visée implantaire
Lorsque l’os de la mâchoire est insuffisant pour soutenir un implant dentaire, des techniques de reconstruction osseuse peuvent être nécessaires. Ces procédures permettent d’augmenter le volume osseux pour garantir la stabilité de l’implant.
Voici les principales techniques :







Reprise de traitement implantaire
La reprise de traitement désigne le processus par lequel un patient reprend des soins après un échec de traitement implantaire ou lorsque des complications surviennent. Voici les étapes typiques d’une reprise :
Résumé
- Greffe osseuse : Ajout d’os ou de matériaux pour augmenter le volume osseux.
- Régénération Osseuse Guidée : Stimule la repousse osseuse grâce à des biomatériaux.
- Sinus Lift : Augmentation de l’os dans la région des molaires supérieures par élévation des sinus.
En cas d’échec ou de complications, la reprise de traitement implique une évaluation diagnostique, une extraction (si nécessaire), une cicatrisation, puis une reconstruction osseuse suivie d’une nouvelle implantation.




Des questions ?
Contactez-nous par mail ou par téléphone, notre équipe se fera un plaisir de répondre à toutes vos questions.


